
Para esta clase continuamos con las exposiciones, primero, comenzó la compañera que le correspondió el tema de Lesiones en huesos, articulaciones y músculos. Inició explicándonos el significado de hueso, que es un órgano firme, duro y resistente que hacer parte del endoesqueleto de los vertebrados. Seguidamente nos muestra los tipos de fracturas que existen que son: 
- Oblicua: Se rompe en ángulo diagonal al hueso
- Conminuta: Se astilla provocando pequeñas partículas de hueso.
- Espiral : Fractura oblicua alrededor del hueso.
- Compuesta: El hueso rompe el tejido y queda expuesto fuera de la piel.
Después nos habla un poco sobre el esguince, que este ocurre cuando una persona se tuerce una articulación como musculo o tendón, ocasionando que la sangre y fluidos se filtren a través de los vasos sanguíneos ocasionando inflamación y dolor en el área afectada.
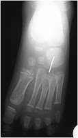
Entre las imágenes más interesantes fue la de las señales de fractura como esta: 
Sin embargo, la práctica no quedó del todo clara, en el momento de como hay que actuar en situación de emergencia cuando haya fractura en alguna parte del cuerpo. 
Por otro lado, también se expusieron las fracturas en el cráneo, a pesar, de que el hueso craneal es resistente se puede llegar a romper si se ocasiona un golpe fuerte en la cabeza, viéndose afectado inclusive el cerebro. Existen cuatro clases de fractura que son: 
|  | 
| Fractura de Cráneo | 
- Simple: Rotura de hueso sin daño en la piel.
- Lineal: Ruptura del Hueso Craneal que se asemeja a una linea delgada.
- Con Hundimiento: Fractura del Hueso Craneal con depresión.
- Abierta: Involucra perdida de la piel.
En el procedimiento se debe tener en cuenta realizar la valoración primaria, es decir, revisar signos vitales, despejar vías respiratorias, e incluir revisión de pupilas para saber el estado de la victima en caso que este inconsciente, es necesario estabilizar cuello y hombros en caso de mover al accidentado. Si la victima presenta sangrado presionar fuertemente sobre la herida con un trozo de tela limpio y esperar que llegue los servicios especializados. En caso de vómito gire la cabeza de la victima para evitar que se ahogue con el mismo.
Por último, la exposición sobre el atragantamiento, desde mi punto de vista esta es una de las ponencias más importantes para nosotras como Pedagogas infantiles, ya que casos como estos son muy frecuentes y es vital actuar rápidamente en esos instantes.
Iniciando, el atragantamiento es cuando a una persona se le bloquean de repente  las vías respiratorias, esta puede ser causada por una mala deglución de los alimentos o por estancamiento de objetos. Existen dos tipos de atragantamiento que son: 
Por último, la exposición sobre el atragantamiento, desde mi punto de vista esta es una de las ponencias más importantes para nosotras como Pedagogas infantiles, ya que casos como estos son muy frecuentes y es vital actuar rápidamente en esos instantes.
|  | 
| Atragantamiento persona sola | 
- Obstrucción Parcial: Es cuando la persona responde por sí misma, puede ser tosiendo fuertemente y logrando expulsar de esta forma el trozo de comida o el objeto tragado. No se debe ayudar a la persona introduciendo los dedos para sacar el objeto puesto que se puede agravar la situación.
- Obstrucción Completa: Este tipo de atragantamiento produce perdida de conocimiento, perdida del habla, falta de respiración, labios y uñas de color azul.
los procedimientos son los siguientes: 
|  | 
| Atragantamiento en compañía | 
- CUANDO LA PERSONA ESTA SOLA:Colocar el puño aproximadamente 2 dedos sobre el ombligo , mientras se sostiene el puño con la otra mano.Inclínese contra el espaldar de una silla. Con fuerza empuje el puño hacia donde usted y hacia arriba mientras se deja caer sobre el espaldar de la silla.
- CUANDO LA PERSONA ESTÁ ACOMPAÑADA: La persona que lo acompaña se coloca atrás, luego colocan las manos una encima de la otra ( dos dedos aproximadamente por encima del ombligo ) y comprimiremos bruscamente hacia arriba, para tratar de aumentar la presión en los pulmones.
 Cuando la persona que se atraganta es un niño, el procedimiento que se lleva a cabo es diferente debido a la fragilidad que tiene el niño en su cuerpo, sin embargo, se debe actuar de forma rápida y precisa
Cuando la persona que se atraganta es un niño, el procedimiento que se lleva a cabo es diferente debido a la fragilidad que tiene el niño en su cuerpo, sin embargo, se debe actuar de forma rápida y precisa - NIÑO MENOR DE UN AÑO: Ponle bocabajo sobre tu antebrazo o sobre tu muslo (en este caso debes estar sentado) y ligeramente inclinado hacia el suelo, con la cabeza más baja que el cuerpo. Dale un máximo de cinco palmadas en la espalda con el borde de la mano, entre ambos omóplatos, usando una fuerza adecuada a su tamaño.
- NIÑO MAYOR DE UN AÑO: Si el niño está consciente y entiende lo que se le dice, deberás incitarle para que tosa. Si no consigue hacerlo o la tos no es eficaz y no se escucha ningún ruido respiratorio, inclínale ligeramente hacia delante y dale cinco palmadas con el borde de la mano, entre los omóplatos.
 

 




